We are 'brainwashed' every time we go to sleep at night. And it's actually a good thing.
Sleep is even more important to our health than we originally thought.

Catching Z's might be one of the best things you can do for brain health.
We know on an intuitive level that sleep is a rejuvenating process. After a really good night’s rest, we wake up refreshed with a clear mind. A 2019 Boston University study shared by Scientific American helps explain why this happens.
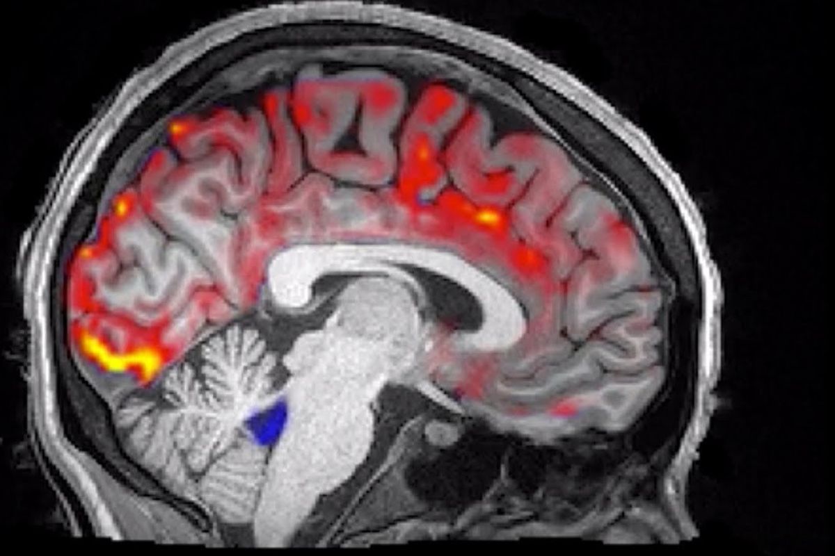
Researchers found that during non-rapid eye movement sleep (which happens at the beginning of the night) neurons shut down as blood flows out of the head, allowing space for cerebrospinal fluid, aka CSF, to flow in. This liquid pulses through the brain in slow, rhythmic waves, quite literally washing away toxic metabolic waste products.
So yes—while the term “brainwashing” might initially make us think of mind-controlling commercials and zombie apocalypses, it could actually be a gift from Mother Nature.
As explained in Scientific American, this research is the first of its kind to link CSF flow directly with the memory-consolidating function of slow-wave sleep. Laura Lewis, who co-authored the study, hopes that this connection will one day provide insight into neurodegenerative diseases like Alzheimer’s disease, which is thought to be caused by a buildup of toxic proteins in the brain.
“We know that people with Alzheimer’s have fewer slow waves, so we may find they also have fewer CSF waves,” Lewis told Scientific American, noting that other psychiatric conditions like depression and schizophrenia, which can have symptoms of sleep disturbance caused by “different electrical signatures,” could also benefit from follow-up studies.
Studying CSF flow and slow brain waves together could also help illuminate the relationship between normal age-related impairments. As people age, their brains often generate fewer slow waves, which could affect the brain’s blood flow and in turn reduce the pulsing of CSF during sleep, leading to a buildup of toxic proteins and a decline in memory abilities. This is why Lewis and the team also hope to do more studies on older adults; previously only healthy adults participated.
Perhaps the biggest takeaway of this study: Never underestimate the power of quality sleep. It’s like our brain’s Marie Kondo, gracefully doing away with whatever doesn’t spark joy. Or maybe in this case, whatever doesn’t spark good health? Either way, it’s a habit that should be taken seriously.
- Here’s a military trick that can help you fall asleep in 2 minutes ›
- Couples, your relationship is not doomed by sleeping apart ›
- Sleep deprivation is hurting kids in more ways than you think. ›
- Couple says they don't sleep on dedicated sides of the bed - Upworthy ›
- Doctor's unique 4-7-8 technique could fix your sleep problems instantly - Upworthy ›






A woman is getting angry at her coworker.via
A man with tape over his mouth.via
A husband is angry with his wife. via 
Curling requires more athleticism than it first appears.
When you meet someone in Japan for the first time, you say "hajimemashite," which literally translates as "first time."
Sharing your age in Japan involves a whole other way of measuring time.

Comfort in a hug: a shared moment of empathy and support.
A comforting hug during an emotional moment.
Woman seated against brick wall, covering ears with hands.